O que é um Aneurisma Cerebral ?
Dona Inês olhou-se no espelho pela manhã. Suas pupilas estavam com tamanhos diferentes. Seus olhos verdes facilitavam. Era evidente que a pupila do olho direito estava muito maior que a do esquerdo.

Relutou em ir para o hospital. Argumentou que podia realizar os exames de outra forma, que procuraria por médicos, que sentia-se bem. Mas acabou aguardando por avaliação neurológica. Ela sabia que algo estava acontecendo.
Um neurologista sabe que a pupila é uma janela para o cérebro. E quando elas ficam diferentes, é preciso se debruçar. O exame de imagem do cérebro revelou o que a dona Inês já sabia.
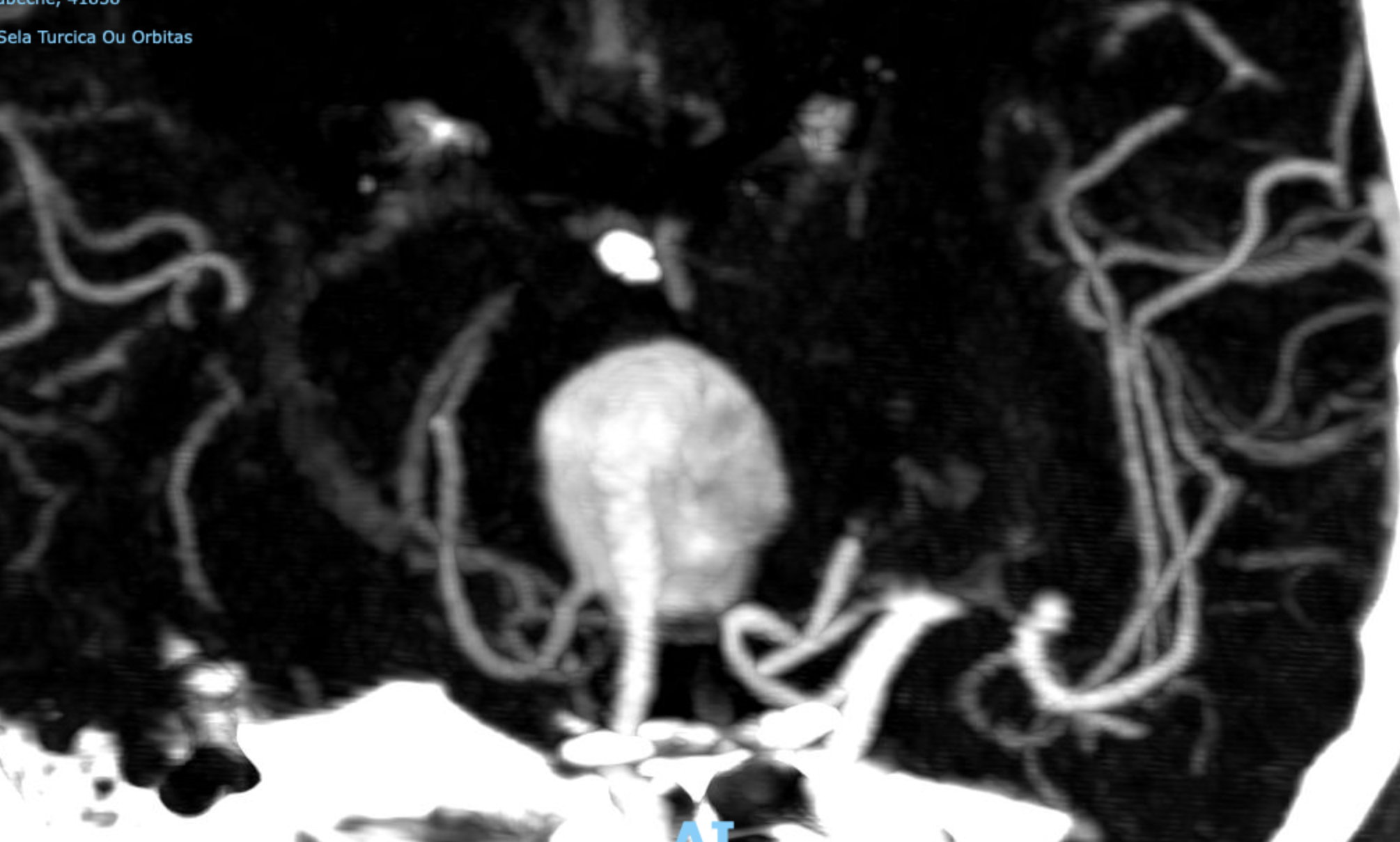
Um aneurisma gigante do topo da basilar é o nome técnico da doença que fez com que as pupilas ficassem de tamanhos diferentes. Essa condição chama-se anisocoria.
Um médico que fosse capaz de olhar além dos sinais das lesões cerebrais causadas pelo aneurisma, perceberia claramente que dona Inês tinha também no olhar um medo, uma percepção não dita, uma noção clara de que algo estava acontecendo.
A explicação foi dada repetidas vezes a ela e seus familiares:
“Aneurismas cerebrais são dilatações anormais nas paredes dos vasos sanguíneos cerebrais. Suas causas e seu desenvolvimento podem ser congênitas ou adquiridas através de outros fatores como envelhecimento, pressão arterial elevada e tabagismo. O risco médio anual de ruptura é de 10 a 21 indivíduos a cada 100.000 pessoas. O prognóstico do paciente é pior após a ruptura e sangramento cerebral.”

O aneurisma dela estava localizado numa região do cérebro de difícil acesso, era grande demais e tinha um risco iminente de romper nas próximas semanas.
O procedimento para o tratamento ( embolização) foi marcado e todos os cuidados estavam sendo realizados para mantê-la estável até que pudesse ser feito de forma segura.
O esposo da dona Inês foi autorizado a visitá-la na UTI. Recebeu todas informações técnicas e esclareceu suas dúvidas. Mas então ele deu um beijo em sua testa e agradeceu pela vida juntos. Disse-lhe que os últimos 54 anos passaram muito rápido ao seu lado. E ele desconfia que isso aconteceu porque ele foi muito feliz. E agradeceu pela vida juntos. Pelos filhos e pela parceria. Eles choraram juntos.
O aneurisma rompeu algumas horas depois. Dona Inês sabia que algo estava acontecendo, desde que olhou-se no espelho aquela manhã. O aneurisma não esperou pelo tratamento mas deu o tempo necessário para deixá-la viver de forma plena e se despedir de quem amava. Ter uma vida bem vivida permite perceber quando ela está encerrando. Se não foi possível tratar sua doença neurológica, que pelo menos saibamos aprender isso. Dona Inês ensinou.